Sample information |
|
| Picture |
|
|---|---|
| Location | |
| Collection date | 08/28/2025 |
| Captive / Cultivated? | Wild-caught |
| Group | Georgia Southern University |
| Observations | Collected by a sweep net in a grassy field at Georgia southern university’s Armstrong campus. |
| Putative identification | Arthropoda Insecta Blattodea |
Methods |
|
| Extraction kit | |
| DNA extraction location | body without wings |
| Single or Duplex PCR | Single Reaction |
| Gel electrophoresis system | Standard electrophoresis system |
| Buffer | TAE |
| DNA stain | Other |
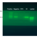
| Gel images |
|
| Protocol notes | DNA extraction kit of in-house reagents was used. |
Results |
|
| Wolbachia presence | No |
| Confidence level | Medium |
| Explanation of confidence level | I’m more confident in how I did at the end of the experiment compared to in the beginning. There was absolutely a few things I could’ve done better but overall I’m proud of what I learned. |
| Wolbachia 16S sequence | |
| Arthropod COI sequence |
|
| Summary | The Blattodea was found to be negative for Wolbachia. |


Wolbachia Project
Alexander Devlin-Myrmica
Brookelynn Foote- Coccinellidae
Maile Bentz- Harmonia axyridis
Madison Adams – Harmonia axyridis