Sample information |
|
| Picture |
|
|---|---|
| Location | |
| Collection date | 12/12/2025 |
| Captive / Cultivated? | Wild-caught |
| Group | Coalinga High School |
| Observations | The spider is very small, and it is curled up like a ball. When caught it was crawling. |
| Putative identification | Arthropoda Arachnida Araneae |
Methods |
|
| Extraction kit | DNeasy (Qiagen) |
| DNA extraction location | Abdomen |
| Single or Duplex PCR | Single Reaction |
| Gel electrophoresis system | MiniOne |
| Buffer | TBE |
| DNA stain | GelGreen |
| Gel images |
|
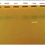
| Protocol notes | DNA extraction: I made sure to crush the spider really good. I cut into the abdomen and made sure there was no exoskeleton in my tube. Gel electrophoresis lanes: Arthropod 1: DNA ladder 2: Spider 3: Wasp 4: unknown 5: Unknown 6: Unknown 7: Unknown Analysis: Arthropod- My controls did not work. In lanes 4-7 we were supposed to see three band but only 2 showed up. I think this is because we could have not crushed up the negative or positive control good enough. From not crushing the arthropod good enough the DNA couldn’t actually get extracted so no results could show.
Gel Electropphorisis : Wolbachia 1: DNA ladder 2: Spider 3: Wasp 4: (+) control 5: DNA control 6:(-) control 7: water Analysis: Wolbachia- My controls did not work! PCR was not done correctly because we got no band for DNA control. |
Results |
|
| Wolbachia presence | Unknown |
| Confidence level | Low |
| Explanation of confidence level | My confidence level is low because only one band showed up and it was our negative control, which should have not shown up so that means PCR didn’t work so its inconclusive. |
| Wolbachia 16S sequence | |
| Arthropod COI sequence |
|
| Summary | |






BRI-AMM Hemiptera
BRI-ANH Order Diptera
BORPARHemiptera
BRI-KMT Hymenoptera
Bri-BJB Hymenoptera