Sample information |
|
| Picture |
|
|---|---|
| Location | |
| Collection date | 10/31/2024 |
| Captive / Cultivated? | Wild-caught |
| Group | Longwood University |
| Observations | 2 wings, small, 6 legs, black and orange yellow coloring |
| Putative identification | Arthropoda Insecta Hymenoptera |
Methods |
|
| Extraction kit | promega wizard SV |
| DNA extraction location | Abdomen |
| Single or Duplex PCR | Single Reaction |
| Gel electrophoresis system | Standard electrophoresis system |
| Buffer | TAE |
| DNA stain | Ethidium Bromide |
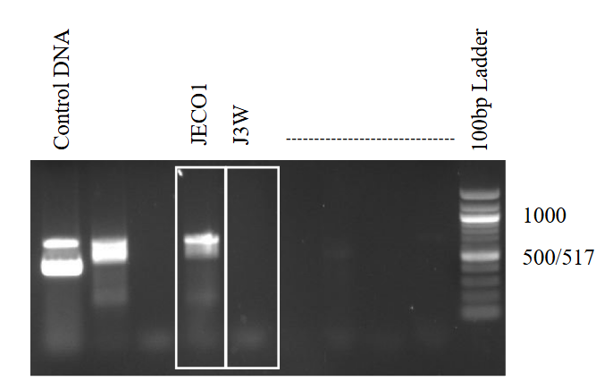
| Gel images |
|
| Protocol notes | |
Results |
|
| Wolbachia presence | No |
| Confidence level | Medium |
| Explanation of confidence level | There was no band in in the 438 region where Wolbachia normally is found. The identification was wrong according to the seek app. All of the controls worked great. |
| Wolbachia 16S sequence | |
| Arthropod COI sequence | Download AB1
|
| Summary | The Hymenoptera was found to be negative for Wolbachia. |


Joro Spider_AG wolbochia_hendricks_lab
Millipede_AG wolbochia_lab_hendricks
Japanese Burrowing Cricket, State College, PA – Wolbachia Results
Ant like creature – Draft
Myrmaplata plantaleoides (Unsure) – Draft