Sample information |
|
| Picture |
|
|---|---|
| Location | |
| Collection date | 08/25/2025 |
| Captive / Cultivated? | Wild-caught |
| Group | Georgia Southern University |
| Observations | Caught in grassy field, few shrubs/trees, some dead grass. |
| Putative identification | Arthropoda Insecta Odonata |
Methods |
|
| Extraction kit | |
| DNA extraction location | Abdomen |
| Single or Duplex PCR | Single Reaction |
| Gel electrophoresis system | Standard electrophoresis system |
| Buffer | TAE |
| DNA stain | Other |
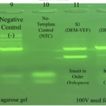
| Gel images |
|
| Protocol notes | A DNA extraction kit of in-house reagents was used. |
Results |
|
| Wolbachia presence | No |
| Confidence level | High |
| Explanation of confidence level | The controls came out as expected. Statistically, insects in the order Odonata tend to have a lower prevalence of Wolbachia infection. Statistics are especially relevant in the region where this experiment was carried out. In this region, Wolbachia infection prevalence in insects in the Order Odonata is 20%, which in the grand scheme of things is not much. |
| Wolbachia 16S sequence | |
| Arthropod COI sequence |
TAGTAGGTACAGCGCTGAGAGTTTTAATTCGGATTGAATTAGGTCAGCCA GGGTCTCTAATTGGTGATGATCAAATTTATAATGTAATTGTAACTGCCCA CGCTTTTGTAATAATTTTTTTTATAGTTATACCTATCATAATTGGAGGTT TTGGTAACTGACTAGTACCTTTAATATTAGGAGCTCCTGATATGGCCTTC CCACGATTGAATAATATAAGTTTTTGATTATTACCTCCTTCCTTTACACT ACTTTTAGCTAGAAGTATGGTAGAAAGTGGTGCAGGAACAGGATGAACAG TTTATCCCCCATTGGCAGGAGCTATTGCCCATGCTGGTGCATCTGTTGAC TTAACCATTTTTTCATTGCATTTAGCTGGTGTGTCATCAATTTTAGGGGC CATTAATTTTATTACAACAGTAATCAATATAAAATCCCCTGGAATAAGTA TTGATCAACTACCATTATTTGTATGGGCAGTAGTAATCACTGCAGTATTA CTTCTTTTATCATTACCAGTACTAGCTGGTGCTATTACCATGCTGTTAAC TGATCGTAATATTAATACATCTTTCTTTGACCCAGCAGGAGGTGGAGACC CAatcTTATACCAACACTTATTTTGATTTTTTGGTCA
BLAST at The Wolbachia Project BLAST at NCBI
|
| Summary | The Odonata was found to be negative for Wolbachia. |


Ant like creature – Draft
Myrmaplata plantaleoides (Unsure) – Draft
leaf hopper nymph
Pheidole species (Minor Worker)
JTR 1