Sample information |
|
| Picture |
|
|---|---|
| Location | |
| Collection date | 10/31/2024 |
| Captive / Cultivated? | Wild-caught |
| Group | Longwood University |
| Observations | The collection of samples took place in the fall when the weather was cooler. The terrestrial habitat (a lake) allowed for a good specimen collection. |
| Putative identification | Arthropoda Insecta Hymenoptera Apidae Apis Apis mellifera |
Methods |
|
| Extraction kit | promega wizard SV |
| DNA extraction location | Abdomen |
| Single or Duplex PCR | Single Reaction |
| Gel electrophoresis system | Standard electrophoresis system |
| Buffer | TAE |
| DNA stain | Ethidium Bromide |
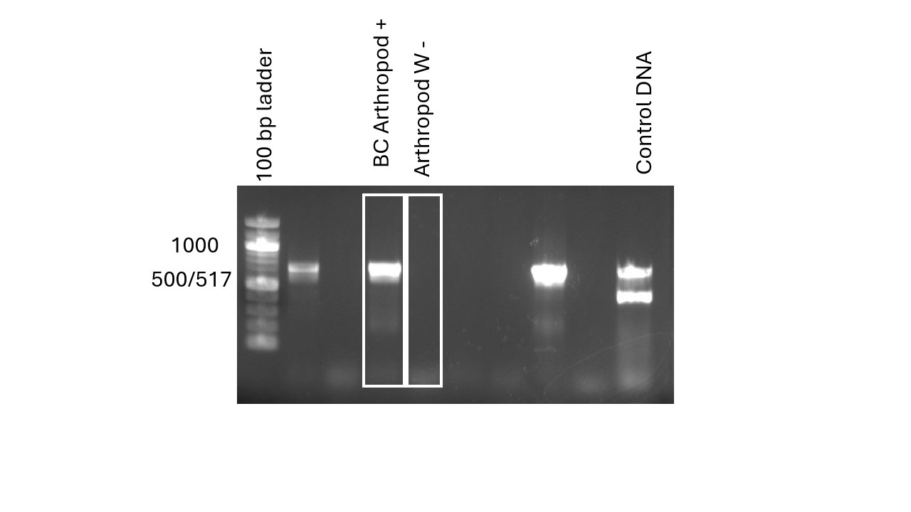
| Gel images |
|
| Protocol notes | |
Results |
|
| Wolbachia presence | No |
| Confidence level | High |
| Explanation of confidence level | All of the controls worked as expected and the BLAST database had a 100% sequence match for my arthropod. I did not have any difficulty throughout the process. Therefore I am confident my arthropod is not infected with Wolbachia. |
| Wolbachia 16S sequence | |
| Arthropod COI sequence | Download FASTA
|
| Summary | The Apis mellifera was found to be negative for Wolbachia. |


Japanese Burrowing Cricket, State College, PA – Wolbachia Results
Ant like creature – Draft
Myrmaplata plantaleoides (Unsure) – Draft
leaf hopper nymph
Pheidole species (Minor Worker)