Sample information |
|
| Picture |
|
|---|---|
| Location | |
| Collection date | 10/31/2024 |
| Captive / Cultivated? | Wild-caught |
| Group | Longwood University |
| Observations | |
| Putative identification | Arthropoda Insecta Diptera Syrphidae Palpada Palpada vinetorum |
Methods |
|
| Extraction kit | promega wizard SV |
| DNA extraction location | Abdomen |
| Single or Duplex PCR | Single Reaction |
| Gel electrophoresis system | Standard electrophoresis system |
| Buffer | TAE |
| DNA stain | Ethidium Bromide |
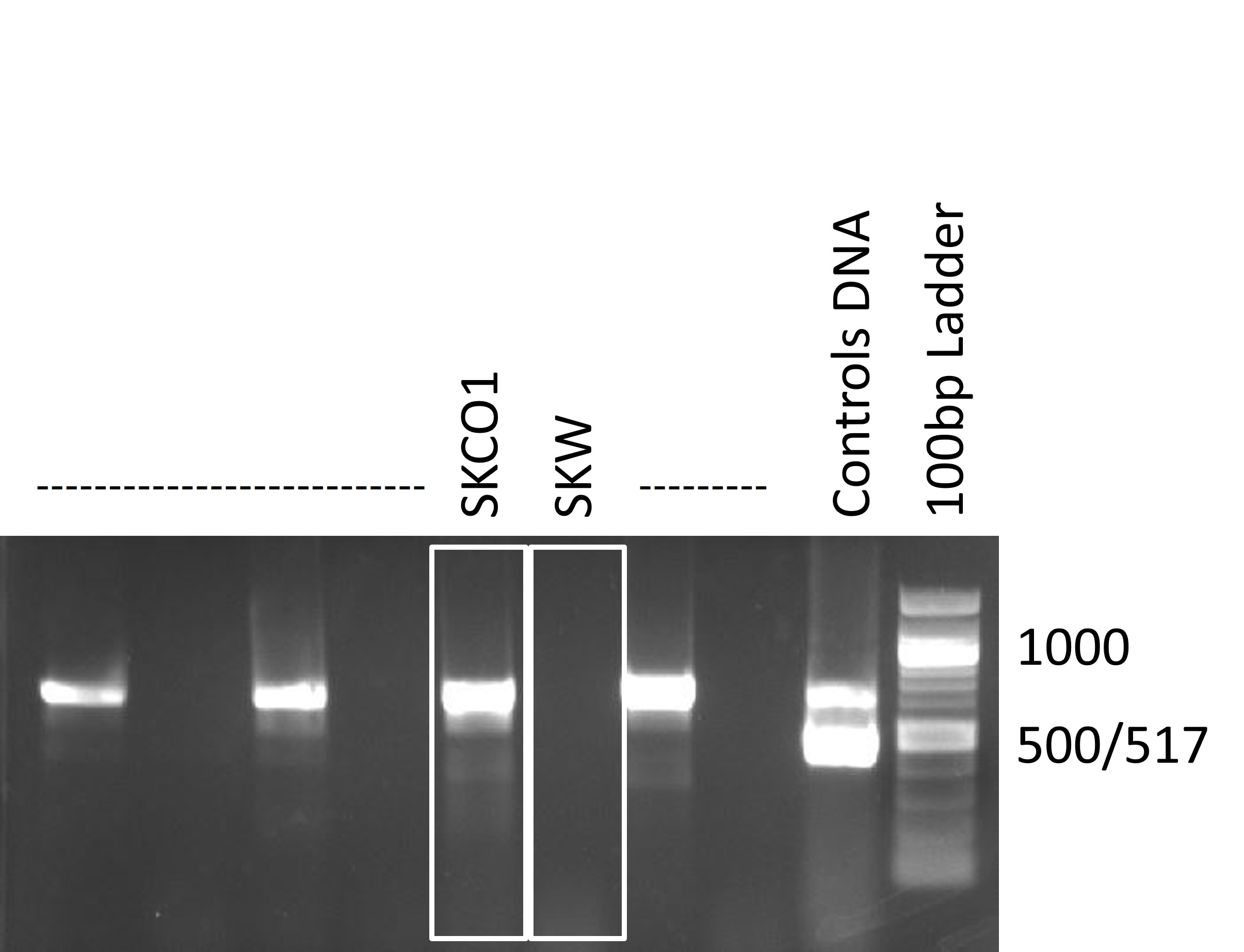
| Gel images |
|
| Protocol notes | |
Results |
|
| Wolbachia presence | No |
| Confidence level | High |
| Explanation of confidence level | The morphology matched well. Bands were present when expected and absent when not. Positive and negative controls behaved as expected leading to higher confidence. |
| Wolbachia 16S sequence | |
| Arthropod COI sequence | Download AB1
NNNNNNGNNTTTGGTACNTGAGCAGGTATAGTAGGAACTTCATTAAGAATTTTAATTCGAGCTGAACTAGGTCATCCAGGTGCATTAATTGGTGATGATCAAATTTATAATGTTATTGTAACAGCTCATGCTTTTGTAATAATTTTCTTTATAGTAATACCTATTATAATTGGAGGATTTGGAAATTGATTAGTTCCTTTAATATTAGGAGCTCCTGATATAGCATTCCCTCGAATAAATAATATAAGTTTTTGATTATTACCTCCTTCTTTAACTTTATTATTAGTAAGAAGTATAGTAGAAAATGGAGCTGGAACAGGATGAACAGTTTATCCTCCTTTATCAAGTAATATTGCTCATGGAGGAGCTTCAGTTGATTTAGCAATTTTCTCACTTCATTTATCTGGTATATCATCAATTTTAGGGGCTGTAAATTTTATTACAACAGTTATTAATATACGATCTACAGGTATTACATATGATCGAATACCTTTATTTGTTTGATCTGTTGCTATTACTGCATTATTATTATTACTTTCATTACCAGTATTAGCTGGAGCTATTACTATATTATTAACAGATCGAAATTTAAATACAACATTTTTTGATCCTGCAGGTGGTGGAGATCCAATTTTATACCAACATTTATTTTGATTTTTTGNNCNNCNNNNAANTTTAAN
BLAST at The Wolbachia Project BLAST at NCBI
|
| Summary | The Palpada vinetorum was found to be negative for Wolbachia. |


Differential Grasshopper – Melanoplus differentialis
Pill Bug (Armadillidium vulgare) – Draft
Melanoplus Femurrubrum
Grasshopper – Orthoptera
Cisseps Fulvicollis