Sample information |
|
| Picture |
|
|---|---|
| Location | |
| Collection date | 10/31/2024 |
| Captive / Cultivated? | Wild-caught |
| Group | Longwood University |
| Observations | |
| Putative identification | Arthropoda Insecta Coleoptera Cantharidae Chauliognathus Chauliognathus pensylvanicus |
Methods |
|
| Extraction kit | promega wizard SV |
| DNA extraction location | |
| Single or Duplex PCR | Single Reaction |
| Gel electrophoresis system | Standard electrophoresis system |
| Buffer | 0.25 TAE |
| DNA stain | Ethidium Bromide |
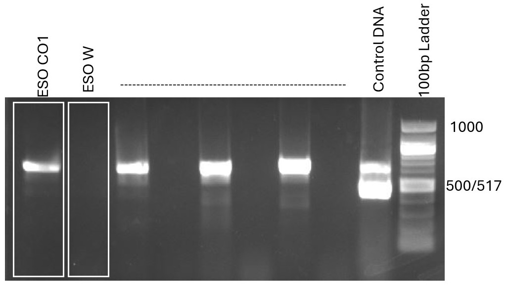
| Gel images |
|
| Protocol notes | A 1% agarose at 110V for 30 minutes, all well contained10 μL. 1) ESO arthropod (CO1) PCR reaction, 2) ESO Wolbachia (W) PCR reaction, 3) Kendra CO1 PCR reaction, 4) Kendra W PCR reaction, 5) Saad CO1 PCR reaction, 6) Saad W PCR reaction, 7) Kassidy CO1 PCR reaction 8) Kassidy W PCR reaction 9) Positive control from both groups 10) 100bp NEB Ladder. |
Results |
|
| Wolbachia presence | No |
| Confidence level | Low |
| Explanation of confidence level | My controls worked as expected. A band was amplified for the arthropod CO1 PCR but my arthropod was not identify correctly. There was an error somewhere through the process but it’s unknown where the error happened. Overall, I am not confidence if my arthropod was infected with Wolbachia. |
| Wolbachia 16S sequence | |
| Arthropod COI sequence | Download AB1
|
| Summary | The Chauliognathus pensylvanicus was found to be negative for Wolbachia. |


Differential Grasshopper – Melanoplus differentialis
Pill Bug (Armadillidium vulgare) – Draft
Melanoplus Femurrubrum
Grasshopper – Orthoptera
Cisseps Fulvicollis