Sample information |
|
| Picture |
|
|---|---|
| Location | |
| Collection date | 10/31/2024 |
| Captive / Cultivated? | Wild-caught |
| Group | Longwood University |
| Observations | It was caught at a wildflower field near a lake in the Fall. |
| Putative identification | Arthropoda Insecta Hymenoptera Halictidae Augochlora Augochlora pura |
Methods |
|
| Extraction kit | promega wizard SV |
| DNA extraction location | Abdomen |
| Single or Duplex PCR | Single Reaction |
| Gel electrophoresis system | Standard electrophoresis system |
| Buffer | TAE |
| DNA stain | Ethidium Bromide |
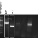
| Gel images |
|
| Protocol notes | |
Results |
|
| Wolbachia presence | Yes |
| Confidence level | High |
| Explanation of confidence level | There was a clear band for Wolbachia on the gel electrophoresis for the sample as well as the control for a known Wolbachia positive organism. The genetic results matched the organism’s genome exactly to Augochlora pura. |
| Wolbachia 16S sequence | Download AB1
|
| Arthropod COI sequence | Download AB1
|
| Summary | The Augochlora pura was found to be postive for Wolbachia. |


Japanese Burrowing Cricket, State College, PA – Wolbachia Results
Ant like creature – Draft
Myrmaplata plantaleoides (Unsure) – Draft
leaf hopper nymph
Pheidole species (Minor Worker)