Sample information |
|
| Picture |
|
|---|---|
| Location | |
| Collection date | 05/30/2025 |
| Captive / Cultivated? | Wild-caught |
| Group | Pingry School |
| Observations | The bug is small, green, with multiple long-legs. It has a leaf-like structure and moves by hopping and jumping. The bug was found beneath a rock in a forested area. |
| Putative identification | Arthropoda Insecta Hemiptera |
Methods |
|
| Extraction kit | DNeasy (Qiagen) blood and tissue kit |
| DNA extraction location | Whole arthropod |
| Single or Duplex PCR | Single Reaction |
| Gel electrophoresis system | Standard electrophoresis system |
| Buffer | 1X TAE |
| DNA stain | SYBR Safe |
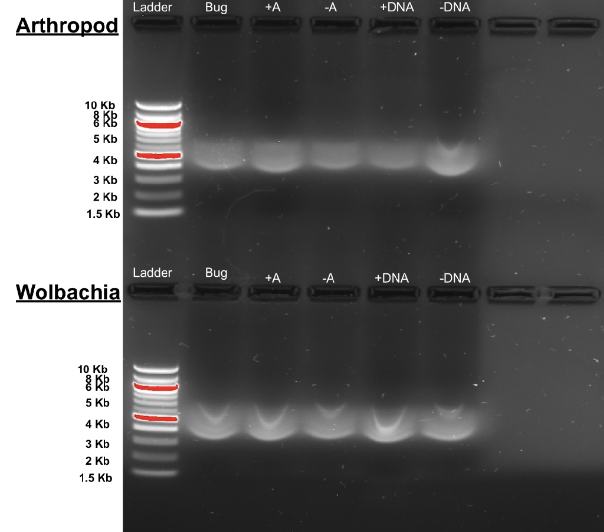
| Gel images |
|
| Protocol notes | DNA was extracted from the bug, and then the DNA was purified before it went through elution. The extracted DNA was then amplified through PCR, which was then analyzed by gel electrophoresis. The amplified DNA was then purified and was submitted for sequencing |
Results |
|
| Wolbachia presence | No |
| Confidence level | Medium |
| Explanation of confidence level | I am reasonably confident that my bug does not contain any Wolbachia, as my gel electrophoresis results indicate that it is not present. The controls did not work |
| Wolbachia 16S sequence | |
| Arthropod COI sequence | Download FASTA
|
| Summary | The Hemiptera was found to be negative for Wolbachia. |


Differential Grasshopper – Melanoplus differentialis
Pill Bug (Armadillidium vulgare) – Draft
Melanoplus Femurrubrum
Grasshopper – Orthoptera
Cisseps Fulvicollis