Sample information |
|
| Picture |
|
|---|---|
| Location | |
| Collection date | 10/31/2024 |
| Captive / Cultivated? | Wild-caught |
| Group | Longwood University |
| Observations | Wildflowers near Lake Mayes at Hampden-Sydney Campus Season: Fall Temperature: 78°F Habitat: Terrestrial |
| Putative identification | Arthropoda Insecta Lepidoptera Hesperiidae Atalopedes Atalopedes campestris |
Methods |
|
| Extraction kit | promega wizard SV |
| DNA extraction location | Abdomen |
| Single or Duplex PCR | Single Reaction |
| Gel electrophoresis system | Standard electrophoresis system |
| Buffer | TAE |
| DNA stain | Ethidium Bromide |
| Gel images |
|
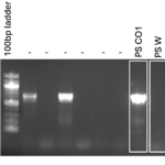
| Protocol notes | DNA extraction: The abdominal contents were removed and crushed thoroughly. Gel electrophoresis lanes for CO1 arthropod and Wolbachia 16S rRNA PCR: 1: 1000bp ladder 2-7: other people’s DNA 8: arthropod primers 9: Wolbachia primers 10: control DNA All of the controls worked. |
Results |
|
| Wolbachia presence | No |
| Confidence level | High |
| Explanation of confidence level | There was no band for Wolbachia , and there was a band for the arthropod lane. The controls also worked for everything else, making me confident that Wolbachia was absent. |
| Wolbachia 16S sequence | |
| Arthropod COI sequence | Download AB1
|
| Summary | The Atalopedes campestris was found to be negative for Wolbachia. |


Differential Grasshopper – Melanoplus differentialis
Pill Bug (Armadillidium vulgare) – Draft
Melanoplus Femurrubrum
Grasshopper – Orthoptera
Cisseps Fulvicollis