Sample information |
|
| Picture |
|
|---|---|
| Location | |
| Collection date | 10/31/2024 |
| Captive / Cultivated? | Wild-caught |
| Group | Longwood University |
| Observations | Large black and yellow bee with a large abdomen and thorax. Closely resemble a bumblebee with yellow and black markings and hind legs. |
| Putative identification | Arthropoda Insecta Hymenoptera |
Methods |
|
| Extraction kit | DNeasy (Qiagen) |
| DNA extraction location | Abdomen |
| Single or Duplex PCR | Single Reaction |
| Gel electrophoresis system | Standard electrophoresis system |
| Buffer | TBE |
| DNA stain | GelGreen |
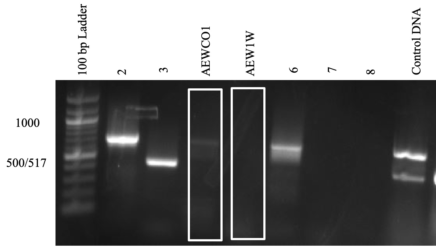
| Gel images |
|
| Protocol notes | Wolbachia was not found in the arthropod sample. There was a PCR inhibitor that resulted in failure for DNA to amplify in PCR which is seen through no bands appearing for the arthropod sample. |
Results |
|
| Wolbachia presence | No |
| Confidence level | Medium |
| Explanation of confidence level | Based on no bands appearing, I have a medium confidence level. There were no bands for the Arthropod sample or Wolbachia. Based on the PCR inhibitor there was a failure to amplify the DNA in the PCR reaction. The positive controls for Wolbachia and Arthropod resulted in bands which means that these controls were successful. |
| Wolbachia 16S sequence | |
| Arthropod COI sequence | Download AB1
|
| Summary | The Hymenoptera was found to be negative for Wolbachia. |


Ant
Differential Grasshopper – Melanoplus differentialis
Pill Bug (Armadillidium vulgare) – Draft
Melanoplus Femurrubrum
Grasshopper – Orthoptera